Ortodonzia linguale specialistica a Livorno
L’ortodonzia linguale è nata per garantire l’invisibilità del trattamento ortodontico ai personaggi del cinema e del mondo dello spettacolo, ma che si è presto dimostrata rapida ed efficiente nel risolvere casi semplici e complessi in chiunque la desideri.
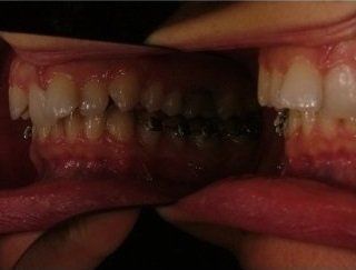
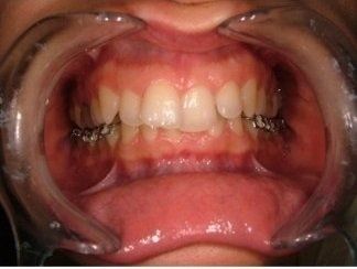
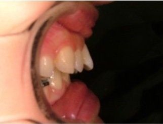
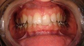
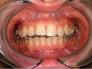
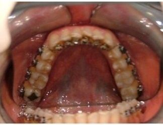
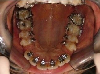
L'idea innovativa di applicare delle maniglie (brackets) sul lato interno dei denti, rivolto alla lingua anziché sul lato esterno rivolto al labbro ed esposto al sorriso, ha fatto sì che questa tecnica venisse denominata “linguale".
È oggi una delle procedure più richieste dai pazienti che accedono ai trattamenti dello studio dentistico Corcos di Livorno, che ne garantisce l’efficacia e i risultati sul lungo periodo.
Apparecchi invisibili
I risultati dell’ortodonzia linguale sono gli stessi di quelli ottenuti con gli apparecchi tradizionali, ma a causa della maggiore difficoltà che possono incontrare gli operatori questa tecnica è ancora usata solo da pochi specialisti in Italia e nel mondo.
Lo studio Corcos tiene in piena considerazione le esigenze di natura estetica e psicologica dei propri pazienti, motivo per cui si è specializzato negli anni in ortodonzia linguale, che propone quando possibile in tutti quei casi in cui non è indicato o è poco predicibile nei risultati un trattamento con Invisalign, che costituisce in generale l'approccio invisibile di prima scelta.
Il trattamento ortodontico non rappresenta più una preoccupazione di inestetismo del sorriso durante il trattamento, ma anzi permette di apprezzarne gli avanzamenti sin dall’inizio. Il lieve imbarazzo fonetico dovuto all'interferenza dei brackets con la lingua viene superato in pochi giorni di adattamento, e solo in casi rari può richiedere fino a un mese.
I vantaggi
I vantaggi dell’ortodonzia linguale vanno oltre l'invisibilità: consente infatti una maggiore velocità del trattamento, soprattutto nei casi con morso coperto, un minor rischio di retrazioni gengivali visibili. Garantisce un minor rischio di danni allo smalto dei denti nella superficie anteriore e una notevole efficacia nell'affrontare sintomatologie dovute a disordini e disfunzioni cranio-mandibolari.

  
 
  
 














