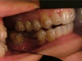
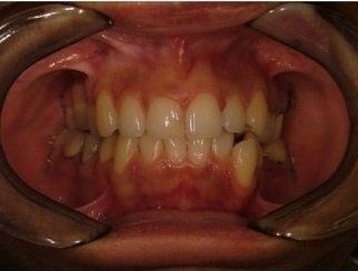
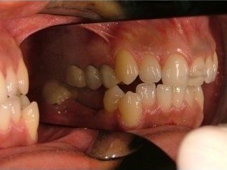
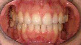
Progettazione di aligner dentali a Livorno
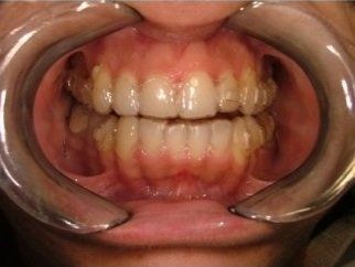
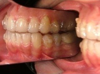
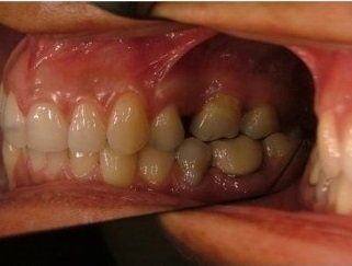
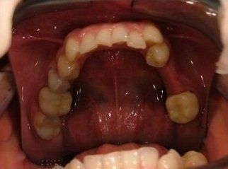
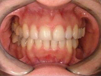
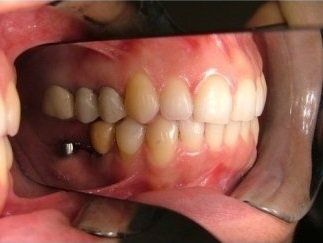
Lo studio dentistico Corcos di Livorno progetta apparecchi Invisalign trasparenti di ultima generazione grazie ai quali mette in campo trattamenti ortodontici altamente efficaci e in grado di migliorare l’assetto della dentatura sia dal punto di vista funzionale che estetico.
Il trattamento si compone di una serie di aligner dentali quasi invisibili e rimovibili che vengono sostituiti ogni due settimane da un nuovo set. Ciascuno di essi è realizzato su misura per ogni paziente. Alla sostituzione dell’aligner dentale, 
i denti si muovono in maniera impercettibile e, settimana dopo settimana, si allineano nella posizione finale definita dal dentista.
Come funziona il trattamento
Se sei alla ricerca del sorriso perfetto ma desideri qualcosa di più discreto dell'apparecchio tradizionale, Invisalign potrebbe essere il trattamento ideale per te.
Grazie alla tecnologia virtuale 3D (software ClinCheck®), lo studio è in grado di progettare nel modo più completo e preciso il piano terapeutico e l’azione degli aligner dentali. Potrai visualizzare gli spostamenti che i tuoi denti seguiranno nel corso del trattamento e sapere in anticipo quale sarà l'aspetto del tuo sorriso al termine della procedura.
I risultati del sistema ClinCheck consentono inoltre di realizzare degli aligner dentali accuratissimi e su misura, comodi, impercettibili e capaci di rivoluzionare il tuo aspetto senza interferire con la tua vita quotidiana. Puoi infatti facilmente rimuovere gli allineatori durante il trattamento, per lavarti i denti e mangiare normalmente.

  
 
















