Cure ortodontiche per denti più sani a Livorno
La parola ortodonzia deriva etimologicamente dal greco antico e il suo significato letterale è "denti dritti” (da ortos = dritto e odontos = dente). Una dentatura perfetta è infatti il traguardo principale che l’ortodonzia moderna si prefigge.
Allo studio dentistico Corcos di Livorno troverai un team di specialisti pronti a strutturare per te un piano di trattamento personalizzato che ti consentirà di tornare a sorridere in sicurezza.
Per una corretta funzionalità dei denti
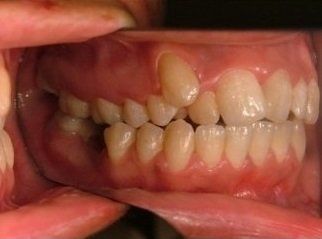
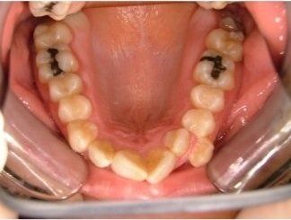
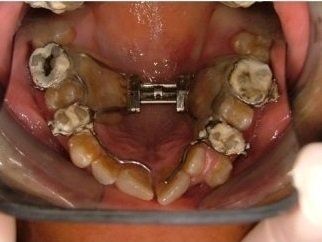
Il trattamento ortodontico non è solo per i bambini: se hai denti storti, affollati, mancanti o prominenti che ti impediscono di masticare e parlare liberamente, potrebbe essere necessario rivolgersi a uno specialista. L’ortodonzia prevede l'uso di apparecchi ortodontici, che possono essere fissi o rimovibili.
I dentisti studiano infatti le anomalie di costituzione, posizione e sviluppo di denti e ossa mascellari, e progettano l’apparecchio mirando al ripristino della corretta funzionalità dell'apparato masticatorio.
Anche l'estetica è importante
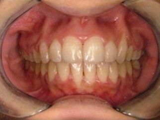
L’ortodonzia non dimentica neanche l’importanza dell’estetica e la sicurezza che un bel sorriso può portare. Per questo un apparecchio può avere come obiettivo anche quello di riportare il profilo facciale nella posizione più corretta possibile e di restituire al paziente un aspetto migliore, oltre che la fiducia in se stesso.
Quindi, in conclusione, un trattamento ortodontico ha i seguenti vantaggi:
- può migliorare l'aspetto e la funzione dei denti;
 - la capacità di parlare e masticare può essere migliorata;
 - denti più dritti facilitano lo spazzolamento e per questo sono meno soggetti a carie e altre patologie.
 

  
 
  
 














